- woensdag 04 June 2025
- Het laatste nieuws uit Suriname
Paginering

Ronny Asabina: “Wet geldelijke voorzieningen DNA-leden nuchter en rationeel benaderen” 18 mei 2024 - 09:00Ronny Asabina, leider van de BEP-fractie in de Nationale Assemblee, vindt dat de debatten rond de ontwerpwet Geldelijke

Echtpaar Khodabaks-Leakat 50 jaar getrouwd 18 mei 2024 - 08:30Het echtpaar Khodabaks-Leakat is vrijdag in Wanica gehuldigd in verband met hun gouden huwelijk in Suriname.Districtscom

Het Janhvi-effect ‘Kiara’s carrière in spanning’ 18 mei 2024 - 08:20De concurrentie tussen heldinnen is vaak heviger dan die tussen helden. Als één heldin aan populariteit wint, kan dit

Diabetes type 2 ligt voor meer mensen op de loer dan werd aangenomen 18 mei 2024 - 08:19Bron NRC | Volksgezondheid Meer mensen hebben prediabetes dan gedacht: 1,4 miljoen Nederlanders. En mogelijk is zelfs dat getal een onderschatting.

Stichting Rumas, Moederdagviering en Simson 18 mei 2024 - 08:10De Moederdagviering dit jaar georganiseerd door Stichting Rumas, was een bijzondere… !!! In het centrum van de viering

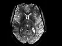
Ongekend scherp beeld van de hersenen uit een Franse MRI-scanner 18 mei 2024 - 08:07Bron NRC | Zó gedetailleerd zag de wereld de hersenen nooit eerder op een MRI-scan.

VN wil dat VS gedwongen terugkeer naar Haïti stopt 18 mei 2024 - 08:05Bewoners dragen hun bezittingen, terwijl ze hun huizen ontvluchten vanwege bendegeweld in Port-au-Prince, Haïti. (Foto: Reuters) Het vluchtelingenagentschap van de

Echtpaar Mahabier-Chedi viert diamanten huwelijk 18 mei 2024 - 08:00Het echtpaar Mahabier-Chedi vierde op 9 mei hun diamanten bruiloft te midden van hun kinderen en overige familie. Hendri

EBS-bond OWOS op pad met petities 18 mei 2024 - 07:45De bond bij de EBS, Ogane Werknemers Organisatie Suriname (OWOS), was deze week dagelijks in het nieuws, omdat zij beslo

Chinees doodgeschoten bij roofoverval Avobakkaweg 18 mei 2024 - 07:36Vanochtend heeft zich een gewapende roofoverval voorgedaan op de Avobakkaweg, ter hoogte van mast 70. De daders waren gewapend met machinegeweren.

Gewezen leden DNA mogen opteren voor functie beleidsadviseur bij overheid 18 mei 2024 - 07:30Volgens de bestaande geldelijke voorzieningen kan een gewezen lid van de Nationale Assemblee die een zittingsperiode of

Bewaker aangehouden voor oplichting 18 mei 2024 - 07:30De politie van het bureau Nieuw Nickerie heeft op donderdag 16 mei 2024 de bewaker S.D. (43) op zijn werkplek aan de Ta

BOG nog steeds in staking: Niemand lijkt ze te missen 18 mei 2024 - 07:20Het Bureau voor Openbare Gezondheidszorg (BOG) is nog steeds in staking, maar het lijkt erop dat niemand hun afwezigheid

Ontdekte olievoorraden in Suriname nu zo'n 2,4 miljard vaten 18 mei 2024 - 07:13De ontdekte olievoorraden van Suriname omvatten nu in totaal meer dan 2,4 miljard vaten ruwe olie en vloeistoffen, en het land beschikt volgens Wood Mackenzie over

Jeugdcriminaliteit: geweld onder jongeren baart zorgen 18 mei 2024 - 07:10Recentelijk verschijnen er bijna wekelijks beelden op social media waarop te zien is dat jongeren gewelddadige handeling

DNA neemt wetsontwerpen geldelijke voorzieningen drie staatsmachten in behandeling 18 mei 2024 - 07:05In de Nationale Assemblee zijn de meningen sterk verdeeld over de “timing” van de behandeling van de drie ontwerpwet

Voor onbepaalde periode geen papieren versie Times of Suriname 18 mei 2024 - 07:00De Surinaamse krant Times of Suriname zal vanaf vandaag voor een onbepaalde periode niet meer gedrukt worden. Het dagbla


Eén dode en twee gewonden te betreuren bij roofoverval te Avobakaweg 18 mei 2024 - 06:16De politie te Brokopondo kreeg op vrijdag 17 mei 2024 omstreeks 10.30 uur, melding van een beroving te Peling Passie in

SML-gepensioneerden dankbaar voor SRD 1.500 uitkering 18 mei 2024 - 06:03Gepensioneerden en weduwen van SML zijn dankbaar dat hun verzoek om SRD 1.500 uitgekeerd te krijgen, is gehonoreerd. Tijdens een bijeenkomst kregen ze het nieuws. G


